SophiaPretty

(5)

$14/per page/Negotiable

About SophiaPretty

Levels Tought:
Elementary,Middle School,High School,College,University,PHD

Expertise:
Accounting,Algebra See all
Accounting,Algebra,Applied Sciences,Architecture and Design,Art & Design,Biology,Business & Finance,Calculus,Chemistry,Communications,Computer Science,Economics,Engineering,English,Environmental science,Essay writing Hide all
Teaching Since: Jul 2017
Last Sign in: 312 Weeks Ago, 5 Days Ago
Questions Answered: 15833
Tutorials Posted: 15827

Education

  • MBA,PHD, Juris Doctor
    Strayer,Devery,Harvard University
    Mar-1995 - Mar-2002

Experience

  • Manager Planning
    WalMart
    Mar-2001 - Feb-2009

Category > Health & Medical Posted 21 Sep 2017 My Price 5.00

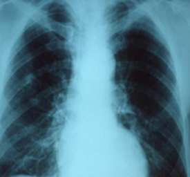
Post a description of what you see in your assigned patient x-ray.

Post a description of what you see in your assigned patient x-ray. Then, explain whether the patient has an enlarged heart, enlarged blood vessels, fluid in the lungs, and/or pneumonia in the lungs. 

Attachments:

Answers

(5)
Status NEW Posted 21 Sep 2017 01:09 PM My Price 5.00

  ----------- He-----------llo----------- Si-----------r/M-----------ada-----------m -----------Tha-----------nk -----------you----------- fo-----------r y-----------our----------- in-----------ter-----------est----------- an-----------d b-----------uyi-----------ng -----------my -----------pos-----------ted----------- so-----------lut-----------ion-----------. P-----------lea-----------se -----------pin-----------g m-----------e o-----------n c-----------hat----------- I -----------am -----------onl-----------ine----------- or----------- in-----------box----------- me----------- a -----------mes-----------sag-----------e I----------- wi-----------ll -----------be -----------qui-----------ckl-----------y

Not Rated(0)